医疗

  • 美国男子遭误诊获赔约30亿人民币 遭受不可逆转伤害:网友感慨赚大发

    12月4日消息,近日,美国新墨西哥州法院裁定73岁男子丹尼尔(化名)获赔4.12亿美元(约合人民币30亿元),这一金额刷新了美国医疗事故赔偿的最高纪录。 2017年,丹尼尔因疲劳和肥胖问题前往“NuMale医疗中心”寻求良方,不料却遭遇了一场噩梦般的误诊。 在疗程中,他被注射了不必要的“性功能障碍药物”,导致了…

    2024-12-04
    2600
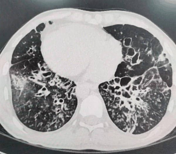
  • 男子排便太用力竟把肺憋炸了:肺脏破口导致气胸

    叮当号9月25日消息,据媒体报道,浙江杭州25岁的小陈(化名)有点便秘,所以大便时稍微用力了点。没想到,这一用劲让他顿时感觉自己胸口闷得慌,症状还越来越重,家人不放心便赶紧将他送至医院就诊。 经过医疗团队的细致检查,小陈被确诊为“气胸”,一个危急的医疗状况,其左侧肺部竟被异常压缩至近九成,严重影响了正常的呼吸功能。 气胸,这一疾病的核…

    2024-09-25
    2600
  • 发现率百万分之一!小伙肺上感染久治不愈 检查竟是镜面人

    叮当号9月24日消息,据媒体报道,湖北的肖先生(化名)因反复咳嗽多年,始终不能治愈,上周因病情加重来到武汉市肺科医院治疗。 医生经过检查发现,肖先生竟是罕见的“镜面人”,即其体内所有内脏器官的排列顺序与正常人完全相反,这种特殊体质在医学界被称为“全内脏反位”,其发病率极低,仅为百万分之一。 “镜面人…

    2024-09-24
    4000
  • 科学家成功逆转HIV:一次可让病毒减少99.99%

    叮当号8月20日消息,据媒体报道,美国加州大学旧金山分校的科研团队在实验室环境中取得了突破性进展。 他们通过精密的基因编辑技术,成功改造了艾滋病病毒,剔除了其致病基因片段,创造出一种名为“治疗干扰粒子”(TIP)的工程化病毒变体。这种创新性的TIP不仅失去了引发疾病的能力,反而成为了一种强有力的治疗工具。 紧接着,研究团队在猕猴模型中…

    2024-08-20
    1400
  • 10秒内止血堪比游戏道具!美国FDA批准止血凝胶上市

    叮当号8月19日消息,据媒体报道,美国食品药品监督管理局(FDA)上周三批准了一种名为Traumagel的创伤止血凝胶上市。 据悉,这种凝胶由藻类和真菌制成,质地和颜色酷似鹰嘴豆泥,被盛装在一个类似于游戏《光环》中能量恢复道具的塑料注射器中,具有神奇的止血功效,可在10秒内完成止血。 由Cresilon公司匠心研发的Traumagel,专为应对中度至重度出血…

    2024-08-19
    2200
  • 男子被细菌入侵脑肺:险摘除眼球

    8月8日消息,据媒体报道,53岁齐先生因发热前去就医,经诊断发现,他感染了肺炎克雷伯菌,有失明甚至摘除眼球的风险。 据了解,肺炎克雷伯菌属于克雷伯菌属中需氧革兰阴性杆菌,是社区获得性感染和院内感染常见致病菌之一。 高毒力肺炎克雷伯菌是从传统肺炎克雷伯菌中分离出来的具有高毒力、高黏液性的侵袭性细菌,当机体免疫功能降低时,可引起肺炎、肝脓肿、泌尿系统感染和血流感…

    2024-08-08
    2000
  • 女子便秘20多年差点撑爆肚子:每天都被折磨

    8月8日消息,据媒体报道,王女士患有较为严重的便秘,20多年来她几乎每天都被慢性便秘折磨。 经过诊断,王女士患有成人巨结肠,医生表示,巨结肠最典型的表现就是腹胀、顽固性便秘及大肠扩张等,如果遇到顽固性便秘,一定要尽早去专业医院做检查。 据了解,巨结肠的典型症状为间歇性或进行性腹胀、排便困难、顽固性便秘、梗阻等。 长期不能正常进食,可能会引起水电解质失衡,如果…

    2024-08-08
    1400
  • 马斯克:Neuralink今年预计完成10例脑机接口植入手术

    叮当号8月5日消息,据媒体报道,脑机接口公司Neuralink创始人马斯克在节目中透露,该公司已成功为第二名患者植入了其脑机接口设备。 马斯克预计Neuralink今年将为另外8名患者提供植入物,作为其临床试验的一部分。这将使该公司总共完成10例脑机接口患者植入。 Neuralink于2016年,该公司希望建立人脑与外部设备的通信通道:通过在大脑内植入超细线…

    2024-08-05
    4500
  • 巴西确诊奥罗普切热病例超7000例:全球首次发现致死病例

    叮当号7月26日消息,据媒体报道,巴西卫生部表示,已记录全球首例奥罗普切热致死病例,有两名女性死于该疾病。这是全球首次发现奥罗普切热致死病例。   据巴西卫生部22日最新公布的权威数据,目前巴西全国范围内已有16个州报告了奥罗普切热的确诊病例,总数激增至超过7000例,这一数字不仅远超去年全年累计的831例,更凸显了疫情在巴西境内的迅速蔓…

    2024-07-26
    4300
  • 家属回应胎儿检出嵌合体超雄综合征:决定终止妊娠

    7月20日消息,微博话题“家属回应胎儿检出超雄综合征”上了热搜榜。 据媒体报道,一胎儿在医院检出嵌合体超雄综合征,超雄由此引发了网友关注。 对此,家属方面回应称,决定终止妊娠,现已在医院。 公开资料显示,超雄综合征是一种性染色体异常综合征,即男性在正常22对常染色体和一对性染色体的基础上又多出来了一个Y染色体,属于一种特殊染色体变异性…

    2024-07-20
    4100

联系我们

在线咨询: QQ交谈

邮件:442814395@qq.com

工作时间:周一至周五,9:30-18:30,节假日休息

关注微信公众号