有一类极为常见的微生物,它们是水生和陆地生态系统的重要组成部分,但是它们很少引起人们的关注。
那就是阿米巴虫,由于它们能够自由改变形态,因此也被称作变形虫。

它们是一种单细胞真核生物,这意味着它们的细胞结构和我们的细胞一样,拥有一个细胞核,以及执行各种功能的细胞器,只不过它们一个细胞就是一只独立生命。
这类生物的核心特征就是拥有伪足,可以进行移动和进食,它们所谓的“变形”主要就是通过伪足的收缩和伸张。
大部分变形虫都非常不起眼,因为它们通常不会和我们有直接的利益相关(其实它们对土壤健康至关重要,只是我们没意识到),但是有少数几种只要出现就很容易登上新闻头版。
比如福氏纳格里阿米巴,这是一种会入侵大脑的阿米巴虫,它们的感染并不常见,但相当致命和可怕,根据美国1962年至2018年的感染数据,该病原体的感染死亡率达到97%左右。

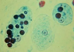
最常见的阿米巴虫感染则是溶组织内阿米巴,这是一种感染全球10%人类的超级寄生虫,每年都大约会有5000万人感染。
这种感染通常发生在儿童身上,常见症状是引起轻微的腹泻,并不算太严重,但是对于少数人来说,这种感染是致命的,因为它会制造一系列的生物破坏,比如导致结肠溃疡、肝脏液化,另外,它也有可能侵入大脑,以及肺部,最严重的情况也会导致感染者死亡,全球每年大约有7万人死于这种感染。

△ 溶组织内阿米巴
然而,就像我们前面提到的一样,这种可能致命且普遍存在的寄生虫很少引起人们的关注,关于它们的研究也非常有限。
直到最近,科学家才真正弄清楚,它们是如何在人体内完成感染的,以及要如何寻找治疗方案。
阿米巴虫对人体做了什么?
阿米巴虫主要通过粪口途径传播,当我们不小心食用了受污染的食物和水时就有可能被感染。
以最常见的溶组织内阿米巴为例,这种阿米巴虫名字的由来是因为它会在感染的器官中形成液化组织溃烂的囊肿,就像溶解了组织一样。
过去,科学家们认为溶组织内阿米巴会将毒素注入细胞,从而对人体造成伤害,但是2011年的研究反驳了这个假设。

2011年,微生物学和分子遗传学系副教授凯瑟琳·拉尔斯顿(Katherine Ralston)还在弗吉尼亚大学做博士后之时,她通过显微镜发现,溶组织内阿米巴实际上在“啃食”人类细胞。
之后经过3年的研究,也就是在2014年的时候,凯瑟琳及其团队在自《自然》杂志上发表了一篇关于溶组织内阿米巴通过“吞噬作用”的过程杀死细胞的论文,这是人们首次知道阿米巴虫是如何破坏人体组织的。
另外,她们还发现,通过“吞噬作用”,溶组织内阿米巴可以杀死所有细胞类型。
时间来到2022年,凯瑟琳的团队又发现,阿米巴虫不仅仅是“吃掉”人体细胞,它们似乎在吞噬人类细胞后,会对人体免疫系统的一个主要成分——一类被称为“补体蛋白”的分子产生抵抗力。

2024年,凯瑟琳团队发表新论文,她们指出阿米巴虫通过摄取人类细胞外膜上的蛋白质,并将其置于自身外表面来获得这种抵抗力。
其中两种——名为CD46和CD55的人类蛋白质可以阻止补体蛋白附着在阿米巴变形虫的表面,从而逃避人类免疫系统的攻击。
简单来说,阿米巴虫在吃掉人体细胞后,会穿上细胞那获得CD46和CD55蛋白质“服装”来伪装自己,真是独一无二的伪装方式。

△ 溶组织内阿米巴吞噬红细胞
寻找阿米巴虫进食和隐藏的基因
由于阿米巴虫感染人类的方式刚刚被发现,所以实际上它们至今都没有疫苗,治疗方案也依然停留在几十年前。
还是凯瑟琳团队,她们最近在《寄生虫学趋势》杂志上发表了一篇论文,提出了一种全新的计划来寻找阿米巴虫执行关键任务(如吞噬人类细胞或窃取其蛋白质)所需的基因,有望找到新的治疗方案。
当然,她们的对象还是溶组织内阿米巴,这种寄生虫的基因组于2005年完成测序,其规模之庞大——比沙门氏菌大五倍多,结构之混乱让研究变得非常困难。
另外,它们的DNA中约75%由腺嘌呤和胸腺嘧啶组成——这种成分使得基因操作十分困难。

不过,凯瑟琳团队发现这种寄生虫利用RNAi(一种基因沉默机制)来调节其基因的活性,这一发现使团队得以在2021年创建一个全面的“RNAi库”。
有了这个“RNAi库”,他们可以沉默这种寄生虫约8700个基因中的任何一个,并观察其后果。
她们的的新论文则是概述了一项扩大规模的计划,将RNAi与CRISPR基因编辑相结合,绘制阿米巴虫的功能基因组图谱。
目前,她们正在倡导研究界开发用于阿米巴虫的CRISPR。
虽然距离完全破解还需要一些时间,但就像她们接受采访时所说的:“我们现在看到了隧道尽头的曙光!”
文章来自互联网,只做分享使用。发布者:,转转请注明出处:https://www.dingdanghao.com/article/909761.html
